We offer wide range of services to suit every dental need you may have, from general treatments to cosmetic. Check out these stunning smiles from our amazing patients !
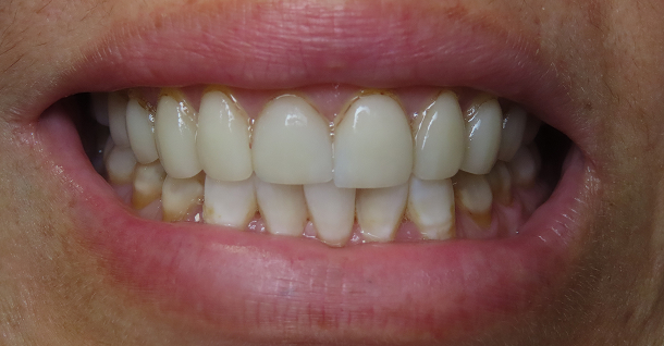
Veneers









Veneers









Veneers - Gum Recontouring - Orthodontics









Full Mouth Veneers




































We offer wide range of services to suit every dental need you may have, from general treatments to cosmetic. Check out these stunning smiles from our amazing patients !






























































